Postes y núcleos universales conservadores

Abr 26 de 2021 0

El sistema de poste y manga ajustable ayuda a preservar la estructura de la raíz mientras maximiza la resistencia

Daniel H. Ward, DDS

Los tratamientos posteriores y centrales se realizan a menudo en dientes tratados con endodoncia para proporcionar una retención adecuada de la corona. A lo largo de los años, se han aprendido lecciones para mejorar la longevidad de los dientes tratados de esta manera. Originalmente, la mayoría de estas restauraciones se apoyaban con postes y núcleos de oro fundido. Esto requirió la remoción de la estructura adicional del diente para permitir una ruta de inserción sin cortes, lo que a menudo requería una visita adicional, y el agrandamiento excesivo puede perforar o debilitar la raíz. 1Posteriormente, se introdujeron postes metálicos prefabricados para permitir que la preparación del poste y del muñón y la corona se realizaran durante la misma visita. Con el advenimiento de la unión de dentina, el uso de postes disminuyó a favor de las acumulaciones de composite adherido. En general, estos procedimientos han tenido un gran éxito, pero hay muchas variables asociadas con la unión de la dentina y la fuerza de la unión puede disminuir con el tiempo. 2 Más recientemente, se desarrollaron postes de fibra de vidrio. Estos reducen el efecto de transparencia debajo de las coronas de cerámica sin metal y proporcionan un módulo elástico similar al de la dentina para reducir la incidencia de fallas radiculares catastróficas. 3La experiencia ha demostrado que los postes colocados en dientes posteriores muy dañados y en dientes anteriores, que sufren fuerzas laterales significativas, mejoran la tasa de éxito. 4,5

El conservadurismo se ha convertido en el estándar en el cuidado de la salud, pero especialmente en la odontología. Conservar la mayor cantidad posible de estructura dental original es primordial en el tratamiento de endodoncia y restauración en la actualidad. 6Los endodoncistas están creando las aberturas de acceso más pequeñas posibles y eliminando la cantidad mínima de estructura interna del diente necesaria. Idealmente, un poste y un núcleo deben usar el material más fuerte en la mayor cantidad posible de su composición, requiriendo una remoción mínima de la estructura de la raíz. Esto crea un dilema para los dentistas restauradores. El uso de un poste tradicional de menor diámetro conserva más estructura de raíz, pero requiere un núcleo compuesto más grande y más débil con menos área de superficie para adherirse al poste. Si se usa un poste de mayor diámetro para aumentar la resistencia, se quita más estructura de la raíz y se puede crear una repisa que puede aumentar el riesgo de fractura catastrófica de la raíz.

Este informe de caso describe el uso de un sistema de poste y manguito que se introdujo recientemente para ayudar a resolver los desafíos planteados por la remoción mínima de la estructura de la raíz al tiempo que proporciona la máxima resistencia. Se compone de un taladro y un poste de un solo tamaño que tiene una funda cónica hecha del mismo material. La funda está diseñada para deslizarse verticalmente por el poste en canales ensanchados hasta la profundidad requerida para un mejor ajuste.

Reporte de un caso

Un paciente se presentó con un diente roto (es decir, el diente No. 28) que requirió tratamiento de conducto. Hubo una pérdida significativa de estructura dental; por lo tanto, se consideró necesario un tratamiento posterior y central para sostener una corona (Figura 1). El paciente fue anestesiado y se excavó cualquier caries restante. Después de obtener, evaluar y medir una radiografía, se utilizó un taladro para eliminar aproximadamente dos tercios de la longitud del material de obturación del conducto radicular (Figura 2). Se tomó otra radiografía para confirmar que la profundidad alcanzada era correcta. A continuación, se probó primero el sistema de poste ajustable único (Splendor SAP, Angelus) sin el manguito para determinar si estaba completamente asentado (Figura 3). Luego se probó con el manguito y se consideró que encajaba bien (Figura 4).

Este poste se encuentra entre los más estrechos disponibles (0,65 mm en la punta apical, 1,0 mm en el extremo coronal), lo que le permite encajar en los canales auxiliares. Se incluye una funda que se puede utilizar, cuando sea necesario, para personalizarla para que se ajuste a los canales ensanchados o sobrepreparados. El manguito reduce significativamente el volumen de cemento necesario para llenar el área coronal de la cámara pulpar y es mucho más fuerte que la resina compuesta, por lo que el resultado es un tratamiento conservador, post y central de una sola visita que es menos propenso a fracturas.

Después de la prueba, se limpiaron el poste y la funda (ZirClean ® , BISCO) y luego se enjuagaron y secaron a fondo. Se aplicó una imprimación de superficie (Z-PRIME  Plus, BISCO) a ambos componentes y se dejó secar durante 2 minutos (Figura 5). A continuación, el canal de la raíz fue grabado ácido (Uni-Etch ® w / BAC, BISCO) durante 5 segundos, se lava, y parcialmente seca utilizando puntos de aire y de papel. Luego se aplicó clorohexidina al conducto radicular durante 30 segundos. Después de eliminar el exceso de humedad con aire y puntos de papel, se aplicaron varias capas de un agente adhesivo universal para dentina autopolimerizable (Universal Primer , BISCO) se aplicaron con un pincel fino y se frotaron durante 30 segundos. A continuación, estas superficies se secaron durante 10 segundos con aire seco. El uso de una imprimación adhesiva autopolimerizable ayuda a garantizar que el agente adhesivo se cure por completo cuando se coloque de 6 a 12 mm de profundidad en un canal donde una lámpara de fotocurado no puede llegar de manera efectiva.

Un cemento de resina de curado dual / material de acumulación (Core-Flo DC Lite, BISCO) se mezcló y se colocó primero en el poste y la manga. A continuación, se colocó una pequeña cantidad de cemento en el canal y se insertaron rápidamente el poste y el manguito. El poste se empujó firmemente hacia abajo en el canal y se sujetó mientras se empujaba la manga hacia abajo con un par de pinzas de algodón. Luego se colocó resina adicional para rellenar y acumular hasta el nivel deseado, y se mantuvo una luz de curado sobre el aspecto oclusal durante 40 segundos (Figura 6). Después de que el área se aisló de la humedad y se dejó fraguar por completo durante 3 minutos, se tomó una radiografía del poste y el manguito con la acumulación (Figura 7), se realizó una preparación de la corona (Figura 8) y se fabricó un provisional para el paciente (Figura 9). Regresó 3 semanas después para que se asentara la corona final (Figura 10).

Conclusión

Con un diagnóstico adecuado, un excelente tratamiento del conducto radicular, conservación de la estructura del diente, una subestructura adecuada, una corona bien ajustada y una atención cuidadosa a la oclusión funcional, podemos proporcionar una manera eficaz de salvar los dientes.


Imagen 1 Vista bucal en primer plano del diente núm. 28 averiado después de un tratamiento de conducto.


Imagen 2 Se utilizó un taladro para retirar el material de relleno endodóntico a la profundidad ideal.


Imagen 3 Prueba de la publicación Splendor SAP para garantizar asientos completos.

Imagen 4 La prueba del poste y la funda Splendor SAP muestra un ajuste excelente.

Imagen 5 Aplicación extraoral de imprimación al poste y al manguito.


Imagen 6 Vista bucal del poste adherido y el manguito y la acumulación de muñón.


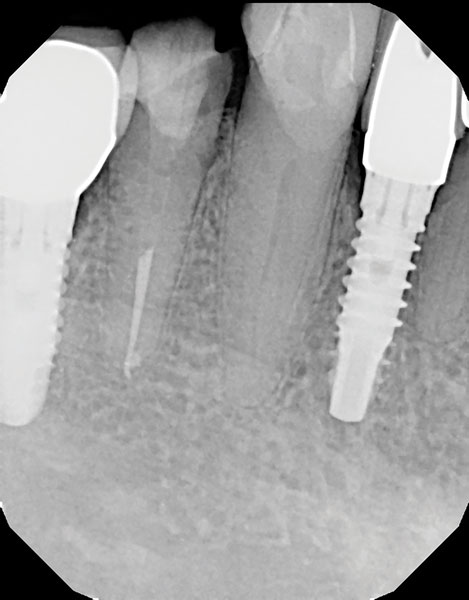
Imagen 7. Radiografía del poste adherido y la formación de manguito y muñón.


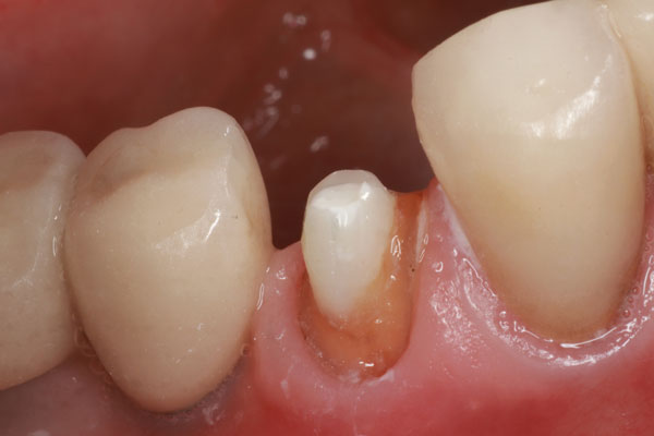
Imagen 8. Vista bucal de la preparación completa de la corona.


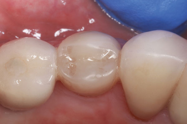
Imagen 9. Vista oclusal de la restauración provisional.


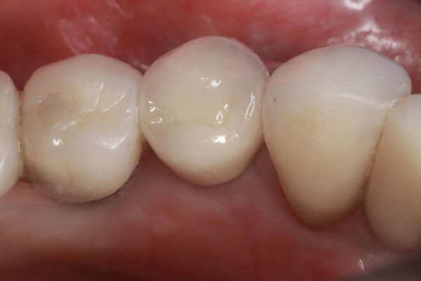
Imagen 10. Vista oclusal de la corona asentada final.

Sobre el Autor

Daniel H. Ward,
Miembro del DDS Miembro de la
Academia de Odontología General
Miembro de
la Sociedad Estadounidense de
Práctica Privada de Estética Dental
Columbus, Ohio

INFORMACIÓN DEL FABRICANTE
Angelus
angelusdental.com
855-346-3682

Referencias

1. Rosenstiel S, Land M, Fujimoto J. Prostodoncia fija contemporánea , 4ª ed. San Luis, MO: Mosby; 2006: 341.

2. Pashley DH, Tay FR, Yiu C, et al. Degradación del colágeno por enzimas derivadas del huésped durante el envejecimiento. J Dent Res . 2004; 83 (3): 216-221.

3. Boksman L, Glassman G, Coelho-Santos G. Postes de fibra y refuerzo dental: evidencia en la literatura. Sitio web del Grupo de Salud Oral. https://www.oralhealthgroup.com/features/fiber-posts-and-tooth-reinforcement-evidence-in-the-literature/ . Publicado el 1 de mayo de 2013. Consultado el 25 de enero de 2021.

4. Ferrari M, Cagidiaco MC, Grandini S, et al. La colocación posterior afecta la supervivencia de los premolares tratados con endodoncia. J Dent Res. 2007; 86 (8): 729-734.

5. D'Arcangelo C, De Angelis F, Vadini M, et al. Resistencia a la fractura y deflexión in vitro de dientes sin pulpa restaurados con postes de fibra y preparados para carillas. J Endod . 2008; 34 (7): 838-841.

6. Zogheib LV, Pereira JR, do Valle AL, et al. Resistencia a la fractura de raíces debilitadas restaurada con resina compuesta y poste de fibra de vidrio. Braz Dent J. 2008; 19 (4): 329-333.

Comparte esta noticia



Últimas Noticias

0 Comentarios

Para comentar debes haber iniciado sesión

Iniciar sesión