Diagnóstico de quiste dentígero en sacos foliculares de terceros molares incluídos

Jun 03 de 2020 0
Erika Niyireth Peralta Ibarra, Claudia Patricia Peña Vega, Andrés Rueda Jiménez

 

Resumen

Objetivo: establecer el tipo de patología más frecuente asociada a terceros molares incluidos extraídos en las clínicas de cirugía oral de la Facultad de Odontología de la Universidad Nacional de Colombia y la frecuencia de aparición de quistes dentígeros, rango de edad, sexo y la región anatómica en que predominan. 
Métodos: se revisaron 17 sacos foliculares de 11 pacientes atendidos en las clínicas de cirugía oral, entre agosto del 2018 y febrero de 2019. 
Resultados: se recolectaron 7 biopsias de 5 pacientes masculinos y 10 de 7 pacientes femeninos, con edades comprendidas entre los 17 a 24 años (media: 20.40), se realizó estudio histopatológico con hematoxilina-eosina, cuyos datos obtenidos se analizaron para determinar frecuencia, edad, sexo y patología asociada. Se encontraron 15 casos que mostraron cambios quísticos diagnosticados como quistes dentígeros y 2 casos diagnosticados como saco folicular. 
Conclusiones: aunque la muestra es pequeña, este estudio da indicios que los sacos foliculares asociados a terceros molares incluídos están altamente implicados en la formación de quistes dentígeros.

Palabras claves: saco folicular; patología; quistes odontogénicos; quiste dentígero; tercer molar; diente impactado; diente incluído.

Introducción

El desarrollo dental se inicia cerca a la sexta semana de vida intrauterina, con la aparición de  una invaginación de células que provienen del ectodermo del primer arco branquial y del ectomesénquima de la cresta neural, dando origen al proceso de odontogénesis (1, 2). A partir de éste se formará el germen dentario mediante una serie de estadios: brote o yema, casquete, campana y folículo dentario que tienen como fin dar origen al órgano del esmalte, papila dentaria, saco folicular y posteriormente al diente (3). Durante su etapa de formación, el diente sufre dos procesos importantes: la histodiferenciación y la morfodiferenciación, específicamente en el estadío de campana donde  las células se transforman en componentes morfológicos diferentes (3). Al respecto, el presente artículo se enfocará en considerar tres etapas importantes en la embriogénesis dental, que son las que tienen mayor relevancia en la  formación de quistes o tumores odontogénicos. Estas son: el estadio de brote, el estadio de campana y la formación de la raíz.

Durante el estadio de brote, la lámina dental tiene como función guiar la formación del germen dentario, así, cuando las células que la componen se desintegran forman unos islotes de células epiteliales que se conocen como restos epiteliales de Serres o residuos de la lámina dental; estos residuos están presentes en la edad adulta y pueden encontrarse en el tejido conjuntivo gingival y dentro del hueso alveolar (4). En el estadio de campana en su fase de transición, las células internas del órgano del esmalte, que son las encargadas de formar la corona dental, degradan una capa de células cuboidales conocida como epitelio reducido del esmalte. Por último, en la formación de la raíz interviene el epitelio del esmalte que estimula la formación de células conocidas como la vaina radicular epitelial de Hertwig, que prolifera apicalmente en el saco dentario, dejando islotes de células conocidas como los restos de epiteliales de Malassez (3).

Cuando un diente completa su formación dentro del hueso alveolar, la parte coronaria del saco folicular se designa como saco pericoronario (5). En este último se pueden encontrar restos epiteliales, como epitelio reducido del esmalte, los restos de Serres o Malassez y el epitelio basal, los cuales por sus propiedades mitóticas conservan la capacidad de proliferación celular y con ello potencian la formación de quistes o tumores odontogénicos (4).

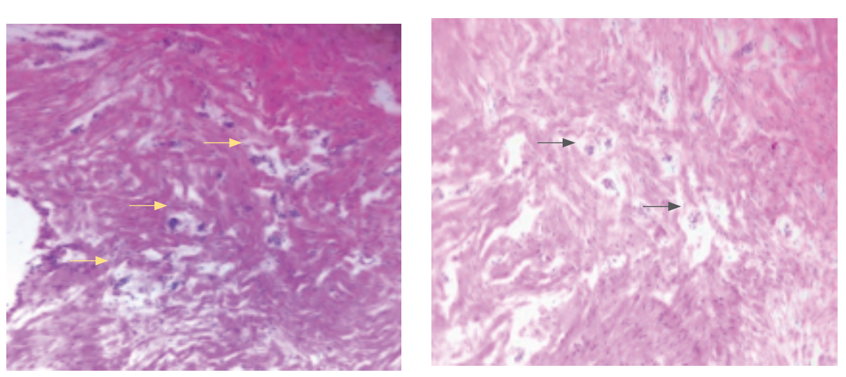
El saco folicular se origina a partir de las células de la cresta neural y se encarga de envolver y proporcionar nutrición  al germen dental (1). Está compuesto de tejido conectivo, células mesenquimatosas y fibroblastos. Histológicamente, se caracteriza por presentar tejido conectivo fibroso, un estroma de tipo mixoide, epitelio reducido del esmalte, abundantes restos epiteliales y calcificaciones dentales (6) (Figura 1).

Figura 1. Histología del saco folicular

Las flechas señalan un estroma fibrohialinizado y presencia de restos epiteliales odontogénicos.

Cuando el diente erupciona normalmente el folículo se desintegra, pero cuando la erupción es incompleta el saco folicular permanece adherido al diente, lo que aumenta la probabilidad de que se forme una patología quística o tumoral (3). Los dientes incluídos o impactados se presentan por una falla en la erupción relacionada, principalmente, con la carencia de espacio en el arco dental (2). Ahora bien, los dientes con mayor prevalencia de inclusión dental y presencia de patología quística son los terceros molares, seguidos de los caninos superiores y los premolares inferiores (7). Por esta razón, se consideran de cuidado ya que son causantes de infecciones, producen reabsorción ósea del diente adyacente y son la principal causa de quistes odontogénicos (8).

Los quistes odontogénicos se derivan del revestimiento epitelial que componen embriológicamente al aparato dental (4), se definen como una cavidad revestida por epitelio, pueden contener material líquido o semilíquido, son generalmente asintomáticos y se detectan radiológicamente (6). Se clasifican según la World Health Organization (WHO) (9) en quistes inflamatorios y quistes del desarrollo.

El quiste dentigero/folicular es un quiste del desarrollo que se origina a partir del epitelio reducido del esmalte, una lesión muy común que se presenta en la mandíbula y se asocia principalmente a los terceros molares (10). Estos se forma alrededor de la corona dental desde la unión amelo-cementaría y clínicamente son asintomáticos; se presentan más en hombres que en mujeres, generalmente entre la primera y segunda década de vida y se diagnostican a menudo con radiografías panorámicas de rutina (2, 10, 11). Además, pueden inflamarse y presentar expansión por acumulación de líquidos.

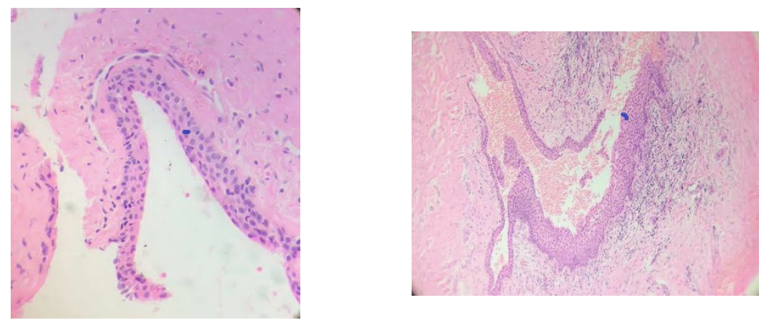
Radiográficamente se observa una lesión radiolúcida, circunscrita, bien delimitada que envuelve a la corona dental, puede ser unilocular o multilocular dependiendo del tamaño de la lesión. Es importante tener en cuenta el ancho de la lesión en términos radiográficos, así, si esta presenta un grosor entre 2.5 mm. y 3.0 mm. debe considerarse la posibilidad que sea patológico (10, 12, 13). Histológicamente presenta una cápsula quística revestida por epitelio escamoso aplanado, puede contener restos epiteliales odontogénicos, el epitelio de revestimiento puede aparecer acantósico e hiperplásico con prolongaciones de clavos epiteliales, estroma subepitelial fibrohialinizado e infiltrado inflamatorio polinuclear o mononuclear ya sea leve, moderado o severo (4, 5, 6, 14), (Figura 2).

Los diagnósticos diferenciales del quiste dentigero/folicular son: folículo dental, quiste periapical, queratoquiste odontogénico, quiste odontogénico calcificante y ameloblastoma uniquístico. El pronóstico es favorable y el tratamiento consiste en descompresión/ marzupialización o en la exodoncia del diente involucrado con enucleación de la lesión y su posterior reconstrucción (6, 9, 14).

Figura 2: Características histológicas de un quiste dentígero

Se observa pared quística revestida de epitelio escamoso aplanado, estroma subepitelial fibrohialinizado con leve infiltrado inflamatorio mononuclear y escasos restos epiteliales odontogénicos.

La patogénesis del quiste dentígero es controversial. La literatura estudiada alrededor del tema propone que ocurren eventos similares a la enfermedad renal poliquística autosómica dominante que tiene como característica inducir la formación de múltiples quistes en los riñones, debido a una alteración en los cilios primarios. Un cilio primario se caracteriza por ser el centro de señalización de la célula epitelial, que participa en la regularización del ciclo celular y la organización del citoesqueleto. Una de sus funciones es ser mecanoreceptor de las proteínas Pc1 y Pc2. En relación a la formación del quiste dentígero, esto se debe específicamente a la inactivación del gen Ptch (Patched), y los señaladores Shh (Sonic Hedgehog). Sobre los cilios, es importante mencionar que estos se encuentran en casi todas las células epiteliales del cuerpo humano incluyendo el epitelio odontogénico, que se encarga de la señalización Shh; cuando se presenta una alteración en esta ruta el receptor Ptch se ve afectado y pasa a un estado de inactividad que induce la proliferación celular lo que lleva a la formación del quiste dentígero (15), (Figura 3).

Pocos estudios hacen referencia a la incidencia de las patologías quísticas de origen dental en la población colombiana (16) o a su relación con los terceros molares incluidos. Con base en esto, se evidencia la necesidad de realizar estudios utilizando ayudas radiográficas e histopatológicas para obtener datos que permitan establecer cuál es la frecuencia de las patologías quísticas odontogénicas, rango de edades de presentación, el sexo en que predominan y la región anatómica más comprometida por este tipo de lesiones.

Figura 3: Patogénesis del quiste dentígero a partir del cilio primario

Fuente: Anoop U, Verma K, Narayanan K. Primary cilia in the pathogenesis of dentigerous cyst: A new hypothesis based on role of primary cilia in autosomal dominant polycystic kidney disease. Oral Surgery, Oral Med Oral Pathol Oral Radiol Endodontology. 2011; 111(5): 608–617. (15)

Métodos

Se evaluaron 17 sacos foliculares de los terceros molares superiores e inferiores en un total de 11 pacientes entre la primera y segunda década de vida, atendidos en las clínicas de cirugía oral de la Universidad Nacional de Colombia, en el periodo comprendido entre agosto de 2018 y febrero de 2019. Este estudio fue aprobado por el Comité de Ética de la Facultad de Odontología de la Universidad Nacional de Colombia como una investigación de riesgos mínimos.

Del estudio se excluyeron sacos foliculares que no fueron extraídos de terceros molares retenidos. Se contó con la autorización y firma de los pacientes mediante consentimiento informado para la recolección y procesamiento del estudio histopatológico de los sacos foliculares de los terceros molares extraidos. Una vez realizada la exodoncia del tercer molar se cureteó el saco folicular, el cual, luego, se fijó en formol al 10% y fue llevado al laboratorio para ser procesado con el protocolo de procesamiento de muestras y tejidos del Laboratorio Interfacultades de la Universidad Nacional de Colombia (17).

Posteriormente, se obtuvieron los bloques de parafina a los cuales se les realizó coloración de hematoxilina-eosina; las láminas obtenidas en cada caso fueron interpretadas por dos patólogos, uno general y uno oral (CP), quienes generaron los diagnósticos y el informe correspondiente. En las descripciones microscópicas de los reportes de patología se tuvieron en cuenta los siguientes hallazgos histopatológicos: tipo de epitelio, estroma fibrohialinizado, estroma fibrolaxo, infiltrado inflamatorio mononuclear crónico, infiltrado inflamatorio mixto, restos epiteliales odontogénicos, calcificaciones dentales, trabéculas óseas desvitalizadas, trabéculas óseas con histología usual, hemorragia, colonias bacterianas, entre otros. Se precisa que en las presentes descripciones se aclaró si los hallazgos se encontraban presentes o ausentes.

Resultados

Se recolectaron un total de 17 biopsias de sacos foliculares de terceros molares de ambos maxilares, 7 de pacientes masculinos y 10 de pacientes femeninos con edades comprendidas entre los 17 y los 24 años (media= 20.40) (desviación estándar: 2,34). De los 17 bloques de parafina, 15 casos se diagnosticaron como quiste dentígero/folicular, 5 casos en el maxilar superior y 10 casos en el maxilar inferior. Solo 2 biopsias fueron diagnosticados como saco dentario/folículo dental; de los 2 sacos foliculares, uno corresponde a un hombre y el otro a una mujer, los dientes involucrados son el 18 y el 28. Histológicamente se observó tejido fibrohialinizado con escasos restos epiteliales odontogénicos.

Respecto a los diagnósticos de quiste dentígero, 6 correspondieron a pacientes masculinos y 9 de pacientes femeninos. De los casos, el 20%, es decir 3, correspondió al diente 18; el 13.3%, representado en 2 casos, correspondió al diente 28; el 33.3%, esto es 5 casos, al diente 38 y el 33.3%, 5 casos, al diente 48.

En cuanto a los hallazgos histológicos obtenidos se encontró que el epitelio más frecuente fue el escamoso estratificado aplanado en un 73.3%, seguido del escamoso estratificado acantósico en un 40%. El estroma fibrohialinizado fue el de mayor prevalencia con un 66.7%, mientras que el estroma fibrolaxo se encontró en un 26.7%. A su vez, se evidenció infiltrado inflamatorio mononuclear crónico en un 53.3% e infiltrado inflamatorio mixto en un 6.7%. Se evidenciaron restos epiteliales odontogénicos en un 60% de las biopsias, mientras que las calcificaciones dentales estuvieron presentes en un 13.3%. Las trabéculas óseas de tipo desvitalizadas se hallaron en un 20%, entretanto, las de histología usual se hallaron en un 13.3%. Además, se encontró hemorragia en el 13.3% de los casos y, colonias bacterianas en el 6.7% (ver Tabla 1).

Tabla 1. Hallazgos histológicos encontrados en los sacos foliculares estudiados

El hallazgo clasificado como otros corresponde al caso No. 12, en el cual se encontró presencia de tejido tipo cemento dentina-like.

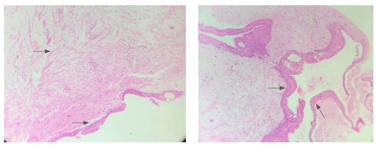
Figura 4. A y B: microscopías de sacos foliculares. C: microscopía de un quiste folicular. D: microscopía de un quiste folicular inflamatorio con sus respectivas características

A: Caso No.12. Se observa pared pseudoquística con estroma fibrohialinizado y presencia de restos epiteliales odontogénicos. Diagnóstico: Saco folicular.

B: Caso No.14. Se observa tejido fibrohialinizado con escasos restos epiteliales odontogénicos. Diagnóstico: Saco Folicular.

C: Caso No. 4. Se observa pared quística revestida por epitelio escamoso estratificado aplanado. Estroma subepitelial fibrolaxo con leve infiltrado inflamatorio mononuclear crónico. Diagnóstico: Quiste folicular/ Quiste dentígero.

D: Caso No. 14.1. Se observa pared quística revestida parcialmente por epitelio escamoso estratificado acantósico con prolongación de clavos epiteliales. Estroma subepitelial fibrohemorrágico con severo infiltrado inflamatorio mixto predominantemente mononuclear y espículas óseas desvitalizadas. Diagnóstico: Quiste folicular inflamatorio/ Quiste dentígero inflamatorio.

Discusión

Al evaluar los datos clínicos, teniendo en cuenta el tamaño de la muestra, se encontró que los quistes dentígeros se diagnosticaron con mayor frecuencia en mujeres (9 casos), que en hombres (6 casos), y se presentan entre la primera y segunda década de vida. Sin embargo, estos resultados no se correlacionan con la mayoría de los estudios publicados. Shridevi R. et al (18) muestran que la predisposición de cambios quísticos es mayor en hombres (10 casos) que en mujeres (7 casos) y el rango de edad predominante es de 26-30 años. Esto mismo sucede con el estudio de Vijayalakshimi S, et al (19) donde se confirma que los cambios quísticos en los sacos foliculares tienden a ser más frecuentes en hombres (9 de cada 10 hombres) que en mujeres (14 de cada 20 mujeres), donde el rango de edad varía de los 14 a los 25 años, lo que concuerda con el hallazgo de este trabajo.

En relación al objetivo principal del presente estudio, que consistió en determinar la frecuencia con la que se presentan las patologías quísticas, los resultados evidencian que en el 88.2% de los casos se diagnosticaron quistes dentígeros como patología única hallada. Esto demuestra la capacidad de formación quística que poseen los sacos foliculares de los dientes analizados y puede constituir una característica sociodemográfica, que debe ser verificada, ya que la muestra no es suficiente para asegurar este determinante. Shridevi R, et al (18), en su estudio sobre la incidencia de cambios quísticos en el tercer molar impactado, evaluaron un total de 73 casos que revelaron 17 casos (23.3%) con cambios quísticos, entre estos 16 (22.1%) eran quistes dentígeros. Por su lado, Vijayalakshimi S, et al (19), en su estudio sobre los cambios histopatológicos asociados con los terceros molares impactados, analizaron 41 folículos dentales, donde 21 de estos mostraron variaciones quísticas y 18 presentaron características de un quiste folicular. Al respecto, varios autores han sugerido realizar estudios donde se incluya un mayor número de sacos foliculares para determinar la prevalencia real de esta patología.

Del total de biopsias analizadas en el presente trabajo se diagnosticaron como sacos foliculares solo 2 casos (11.8%) correspondientes a un diente 18 y 28. Estos resultados no se correlacionan con la literatura, puesto que Shridevi R, et al (18) exponen que el 52.6% de los casos, es decir 42 de un total de 73, fueron diagnosticados como sacos foliculares. Situación similar se presenta con el estudio realizado por Meleti y Van der Waal (10) quienes realizaron una evaluación clínico-patológica de 164 folículos dentales, en donde 130 (79.3%) de las biopsias tuvieron un diagnóstico de sacos foliculares sin alteraciones, lo cual demostró que la prevalencia de que un folículo dental sea normal es mayor al 50%. Sin embargo, el presente estudio sugiere que la tendencia a cambios quísticos puede ser mayor, aunque esto debe ser observado con precaución dado el tamaño de la muestra recolectada que, además, se constituye como una serie de casos, por lo que se hace nesario realizar estudios con un mayor número de pacientes.

En lo que se relaciona con la región anatómica que muestra mayor prevalencia para la formación de quistes dentígeros, el presente trabajo demuestra que es la mandíbula, con un total de 10 casos, mientras que en el maxilar se presentaron 5 casos. De acuerdo a Koseoglu, Atalay y Erdem (20)90 odontogenic cysts were collected from 90 patients over a five-year period. Patients with radicular cysts, dentigerous cysts and odontogenic keratocysts were further analyzed with regard to age, sex and anatomical distribution. Using the histological classification of the World Health Organization, 53 cases (59%, quienes realizan un estudio clínico de 90 casos de quistes odontogénicos, se evidencia que el quiste dentígero tiene una alta predilección por la zona mandibular. En ese sentido, la tendencia del quiste dentígero a presentarse en la región mandibular puede deberse a que los terceros molares mandibulares son los dientes que más se impactan o quedan incluidos dado el espacio disponible durante la erupción dental.

En los hallazgos histológicos del presente estudio se encontró epitelio escamoso estratificado aplanado y acantósico, siendo el aplanado el de mayor frecuencia con un 73.3%. Estos resultados concuerdan con otros estudios como el de Vijayalakshimi et al (19) donde el 51.2%, que corresponde a 21 casos de quistes dentígeros y presentan un epitelio escamoso estratificado. Hung-Pin Lin y colaboradores (21)338 consecutive cases of DCs were collected from January 1995 to December 2009. The demographic data and clinicopathological features of these DC cases were reviewed and analyzed. Results: The 338 DCs were taken from 332 patients (212 men and 120 women, mean age 33.0 years, range 5-83 years analizaron 338 quistes dentígeros encontrando que el epitelio más frecuente era el escamoso estratificado con un 93.8%. De esta forma, estos estudios demuestran la prevalencia de dicho epitelio en este tipo de patología quística.

El estroma de tipo fibrohialinizado fue el más encontrado con un 66.7% mientras que el fibrolaxo se encontró en un 26.7%. Un hallazgo importante en este estudio es que el 60% de los casos de quistes dentígeros son de tipo inflamatorio, ya que en sus análisis histológicos se presenta infiltrado inflamatorio crónico o mixto, lo que puede indicar que al momento de la exodoncia el diente presentaba un proceso infeccioso. Hung-Pin Lin y colaboradores (21)338 consecutive cases of DCs were collected from January 1995 to December 2009. The demographic data and clinicopathological features of these DC cases were reviewed and analyzed. Results: The 338 DCs were taken from 332 patients (212 men and 120 women, mean age 33.0 years, range 5-83 years refieren que el 86.7% de sus casos presentan inflamación crónica o mixta, lo que les permite concluir que a pesar de que el quiste dentígero es una lesión del desarrollo, la infección o la inflamación se presentan comúnmente en este tipo de patología.

En relación a lo anterior, es importante resaltar que el quiste dentigero no es la única patología reportada en la literatura asociada a estos casos, Vijayalakshimi et al (19) reportaron 2 casos de queratoquistes odontogénicos (OKC) y 1 caso de quiste odontogénico calcificante, igual sucede en el estudio de Shridevi et al (18) quienes reportan un caso de OKC. Koseouglu et al (20)90 odontogenic cysts were collected from 90 patients over a five-year period. Patients with radicular cysts, dentigerous cysts and odontogenic keratocysts were further analyzed with regard to age, sex and anatomical distribution. Using the histological classification of the World Health Organization, 53 cases (59%, en su estudio clínico, encontraron 53 casos (59%) que se clasificaron como quistes radiculares y 24 casos (27%) como queratoquistes odontogénicos.

Como conclusión de este estudio se establece que los sacos foliculares asociados a terceros molares incluidos están altamente implicados en la formación de quistes dentígeros, dado el numero de casos esto requiere de futuros estudios para establecer la prevalencia en la población estudiada. Asimismo, también se ratifica la importancia de realizar el análisis histopatológico en los sacos foliculares de los terceros molares extraídos, así como también un buen manejo al alveolo dentario.

Por lo tanto, se recomienda desarrollar estudios con mayor número de casos que incluyan además el análisis radiográfico de los terceros molares, para poder determinar con mayor certeza la frecuencia y asociación de patología quística o tumoral odontogénica con los sacos foliculares de los dientes incluidos.

Agradecimientos

Al maestro y patólogo Dr. Humberto Quintana Muñoz por su colaboración en la lectura de las muestras.

Contribuciones de los autores

Erika Peralta participó en la concepción del estudio, recolección de los datos, análisis de la literatura y escritura del artículo; Claudia Peña participó en la concepción del estudio, análisis de las muestras, análisis de la literatura y escritura; Andrés Rueda realizó acompañamiento en todas las fases del estudio, análisis de la literatura y escritura. Todos los autores aprueban el artículo final y su envío para publicación.

Conflictos de interés

Los autores manifiestan no tener ningún conflicto de interés.

Referencias

  1. Brkic A. Dental follicle: role in development of odontogenic cysts and tumours. J istanbul univ fac dent 2014; 48(1): 89–96.
  2. Dutra L, Rojas U, Modolo F, Rivero E, Rodrigues R. Incidência de anormalidades histológicas em tecido correspondente ao espaço pericoronário de terceiros molares inclusos e semi-inclusos. Rev Odontol da UNESP 2015; 44(1):18–23. https://doi.org/10.1590/1807-2577.1004
  3. Bonilla C, Higuera M, Bernal A. Caracteristicas clínicoradiográficas e histométricas de sacos pericoronarios de terceros molares retenidos y su relación con edad, sexo y localización anatómica. Bogotá: Universidad Nacional de Colombia; 2001.
  4. Robinson R, Vincent S. Tumors and Cysts of the Jaws. AFIP atlas of tumor pathology. Series IV. Volume 16. Arlington, Virginia: ARP Press; 2012.
  5. Kumar G. Orban’s Oral Histology and Embryology. 13th ed. Chennai, India: Elsevier; 2011.
  6. Wenig M, Childers B, Richardson S, Seethala R, Thompson R. Non-Neoplastic Diseases of the Head and Neck. 11th ed. Washington: American Regisry of pathology; 2017.
  7. Azhar A, Gulabchand R, Suresh R, Prakash N, Edwin P, Riyaz A, et al. An Evaluation of Pathologic Changes in the Follicle of Impacted Mandibular Third Molars. J Int Oral Heal 2015; 7(4): 58–62.
  8. Mello F, Melo G, Kammer P, Speight P, Rivero E. Prevalence of odontogenic cysts and tumors associated with impacted third molars: A systematic review and meta-analysis. J Cranio-Maxillofacial Surg 2019; 47(6): 996–1002. https://doi.org/10.1016/j.jcms.2019.03.026
  9. Pindborg J, Kramer I. Tipos Histologicos De Tumores Odontogenicos, Quistes De Los Maxilares Y Lesiones Afines. Available from: http://apps.who.int/iris/bitstream/10665/37798/1/924376005X_es.pdf
  10. Meleti M, Van der Waal I. Clinicopathological evaluation of 164 dental follicles and dentigerous cysts with emphasis on the presence of odontogenic epithelium in the connective tissue. The hypothesis of “focal ameloblastoma”. Med Oral Patol Oral Cir Bucal 2013; 18(1): 60–64. https://doi.org/10.4317/medoral.18372
  11. Gonzalez R, Escorial V, Capote A, Martos P, Sastre J, Rodriguez F. Actitud terapéutica ante sacos foliculares de terceros molares incluídos. Rev Esp Cir Oral y Maxilofac 2005; 27(2): 80–84. https://doi.org//10.4321/S1130-05582005000200003
  12. Martin L, Speight P. Odontogenic cysts. Diagnostic Histopathol 2015; 21(9): 359–369. https://doi.org/10.1016/j.mpdhp.2015.07.005
  13. Benn A, Altini M. Dentigerous cysts of inflammatory origin A clinicopathologic study. Oral Surg Oral Med Oral Pathol Oral Radiol Endod 1996; 81(2): 203–209. https://doi.org/10.1016/s1079-2104(96)80416-1
  14. Martin L, Speight P. Odontogenic cysts: an update. Diagnostic Histopathol 2017; 23(6) :260–265. https://doi.org/10.1016/j.mpdhp.2017.04.006
  15. Anoop U, Verma K, Narayanan K. Primary cilia in the pathogenesis of dentigerous cyst: A new hypothesis based on role of primary cilia in autosomal dominant polycystic kidney disease. Oral Surgery, Oral Med Oral Pathol Oral Radiol Endodontology 2011; 111(5): 608–617. https://doi.org/10.1016/j.tripleo.2010.12.016
  16. Fajardo L, Peña C. Frecuencia de quistes odontogénicos en pacientes de la Facultad de Odontología, Universidad Nacional de Colombia. Univ Odontol 2018; 37(79). https://doi.org/10.11144/Javeriana.uo37-79.fqop
  17. Facultad de Odontología – Universidad Nacional de Colombia. Protocolo de Toma de Biopsias [en línea]. Disponible en: http://www.odontologia.unal.edu.co/docs/habilitacion/prot_toma_biopsias.pdf
  18. Adaki Shridevi R, Yashodadevi B, Sujatha S, Santana N, Rakesh N. Incidence of cystic changes in impacted lower third molar. Indian J Dent Res. 2013; 24(2): 183–187. https://doi.org/10.4103/0970-9290.116674
  19. Vijayalakshmi S, Kotrashetti Alka D, Kale, Sudhir S, Bhalaerao Seema R. Histopathologic changes in soft tissue associated with radiographically normal impacted third molars. Indian J Dent Res 2010; 21(3): 385–390. https://doi.org/10.4103/0970-9290.70809.
  20. Koseoglu B, Atalay B, Erdem M. Odontogenic cysts: a clinical study of 90 cases. J Oral Sci 2004; 46(4): 253–257. https://doi.org/10.2334/josnusd.46.253
  21. Lin H, Wang Y, Chen H, Cheng S, Sun A, Chiang C. A clinicopathological study of 338 dentigerous cysts. J Oral Pathol Med 2013; 42(6): 462–467. https://doi.org/10.1111/jop.12042
  22.  

Peralta Ibarra E, Peña Vega C, Rueda Jiménez A. Diagnóstico de quiste dentígero en sacos foliculares de terceros molares incluidos. Acta Odont Col [en línea] 2020 [fecha de consulta: dd/mm/aaaa]; 10(1): 24-36. Disponible en: https://revistas.unal.edu.co/index.php/actaodontocol/article/view/82315

Comparte esta noticia



Últimas Noticias

0 Comentarios

Para comentar debes haber iniciado sesión

Iniciar sesión